Segunda Deformidad del Torax en frecuencia. Consiste en la protrusión de la cara anterior del Tórax.
Se conoce popularmente tambien como: Pecho de Paloma o Pecho en quilla.
Se puede diferenciar tres tipos:
PECTUS CARINATUM CONDROGLADIOLAR
TAMBIEN CONOCIDO COMO TIPO I. Es el más común de los Carinatums. La protrusión se encuentra en la parte correspondiente al cuerpo del Esternón o tambien llamado Gladiolo.
____________________________________
CASO 1: Mujer 13 años de edad.
Correccion sin procedimiento quirurgico. Se utilizó Aparato de compresión dinamica externa. El resultado observado en las fotografias se alcanzó en 6 meses de tratamiento.



____________________________________
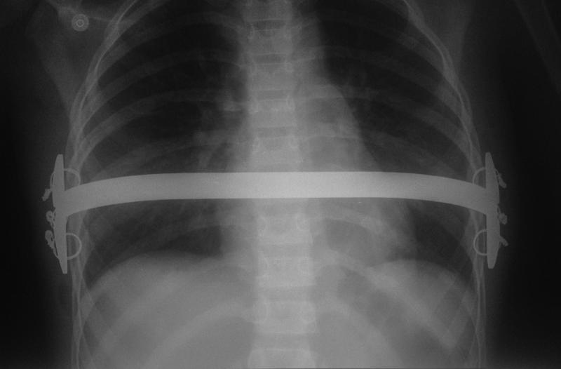
CASO 2: Hombre 10 años de edad.
Corrección quirúrgica. Operación de Abramson.
Se implantó barra metalica de compresión interna con fijación costal bilateral.


____________________________________
CASO 3: Hombre 22 años de edad
Sindrome de Marfan, madre y hermana afectos.
Se realizó corrección quirúrgica. Condrectomia bilateral desde segundo cartilago costal hacia abajo. Operacion de Welch-Ravitch.


CARTILAGOS EXTIRPADOS
_____________________________________
PECTUS CARINATUM CONDROMANUBRIAL
Tambien conocido como SINDROME DE CURRARINO SILVERMAN, o TIPO 2.
Se caracteriza por presentar una protursión alta a nivel del esternón, con forma de herradura.
Puede ser confundido con un tórax excavado por ojos no expertos.
Lo que tenemos es un Esternón corto y ancho, cuyos nucleos de crecimiento se osificaron y fusionaron tempranamente, dando lugar a la deformidad descrita.

______________________________________
PECTUS CARINATUM LATERAL
La protrusion esta dada principalmente por los cartilagos costales de un solo lado, aunque muchas veces puede coincidir con un hundimiento del otro lado. En muchas ocasiones este produce una rotación del Esternón sobre su eje longitudinal.

Barra colocada a la Abramson, para corrección de PECTUS CARINATUM LATERAL.